Acne: Begrijpen, Aanpakken & Onder Controle Houden
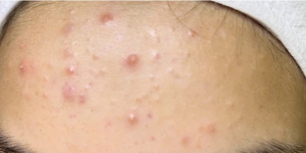
Acne is een veelvoorkomende huidaandoening die zich op verschillende manieren kan uiten. Of het nu gaat om jeugdpuistjes, ontstekingen, onderhuidse bultjes of restlittekens: acne beïnvloedt niet alleen het huidbeeld, maar ook het zelfvertrouwen.

De verschillende vormen van acne
Acne komt in vele vormen voor. Denk aan:
- Acne vulgaris: de klassieke vorm met puistjes, roodheid en mee-eters (comedonen).
- Acne papulopustulosa: ontstoken puistjes met een rode basis en witte kop.
- Acne conglobata: ernstigere vorm met pijnlijke cysten en kans op littekenvorming.
- Acne tarda (volwassenenacne): komt vaak voor bij vrouwen vanaf 25 jaar, meestal hormonaal beïnvloed.
- Acne cosmetica: veroorzaakt door verkeerde huidverzorging of make-up.
Hoe uit acne zich?
Acne kan bestaan uit:
- Mee-eters (zwarte of witte puntjes)
- Rode, gevoelige pukkeltjes of puistjes
- Onderhuidse ontstekingen of bulten
- Glimmende huid door verhoogde talgproductie
- Restvlekjes of littekens na genezing
- Bij elke vorm speelt verstopping van de poriën, verhoogde talgproductie en ontsteking een rol.
Triggers voor acne
Er zijn diverse interne en externe factoren die acne kunnen uitlokken of verergeren, zoals:
- Hormonale schommelingen (puberteit, cyclus, stress)
- Onjuiste of agressieve huidverzorging
- Bepaalde voedingsmiddelen (zoals zuivel of suiker)
- Medicatie of hormonale anticonceptie
- Wrijving van mondkapjes, helmen of kussenslopen
- Verkeerde cosmetica of te veel make-up

Oorzaken & gevolgen
De basis van acne is vaak een combinatie van overmatige talgproductie, verhoorning (verdikking van de huidlagen)en bacteriële activiteit. Wanneer deze disbalans aanhoudt, kunnen chronische ontstekingen en littekens ontstaan. Ook psychisch heeft acne impact: het kan zorgen voor onzekerheid, schaamte en sociale terugtrekking.
Plan van aanpak
Wat doen wij in de salon?
We werken met behandelingen die exact zijn afgestemd op de fase en ernst van jouw acne. Onze aanpak is gebaseerd op:
- Dieptereiniging en antibacteriële behandelingen
- Zachte, huidvriendelijke zuren om talgregulatie en celvernieuwing te stimuleren
- Actieve werkstoffen die de huidbarrière herstellen en roodheid verminderen
- Kalmerende, regenererende serums en maskers
- Thuisproducten die aansluiten op jouw behandelplan, vrij van verstoppende of irriterende stoffen
Waarom de juiste verzorging essentieel is
Een succesvolle aanpak van acne stopt niet na de behandeling. Thuisverzorging met de juiste werkstoffen — denk aan niacinamide, salicylzuur, zink, panthenol en verzachtende plantcomplexen — maakt het verschil tussen tijdelijk resultaat en blijvende huidverbetering. We begeleiden je stap voor stap in een routine die jouw huid écht helpt herstellen.
Samen zorgen we voor een huid die weer in balans is. Of het nu gaat om actieve acne of restverschijnselen zoals vlekjes of littekens — we maken een persoonlijk plan dat werkt voor jóuw huid.
Huid en darmen
Bij acne speelt voeding vaak een grotere rol dan gedacht. Bepaalde voedingsmiddelen, zoals snelle suikers, zuivel of bewerkte vetten, kunnen ontstekingen in het lichaam stimuleren en zo de huid onrustig maken. Daarom kijken wij niet alleen naar de buitenkant, maar ook naar wat je van binnenuit nodig hebt.
We geven gericht advies over voeding, met extra aandacht voor omega 3-vetzuren (ontstekingsremmend) en het herstellen van de darmbalans – beide essentieel voor een zuivere huid. Zo werken we samen aan huidverbetering van binnenuit én buitenaf.